Smile Makeovers from Malta Dental, Cosmetic & Implant Clinic
A complete smile makeover will transform your teeth to give you the perfect smile you’ve always dreamed of. Malta Dental, Cosmetic and Implant Clinic will take you through a number of stages to ensure that you are happy and well informed at each stage of your treatment.
Step 1: Visualising the Result with Initial Discussions
In order to visualise how your smile will look, initial discussions are required to explore all options fully. In this discussion we will look at what you would like to change about the present appearance of your teeth. For example, crowding can be decreased, spaces can be filled or reopened, and midline shift can be corrected. Any rotations, angulations or tilting can be corrected, and teeth levels can be altered to bring them to a consistent level.
The ideal tooth shade and colour can be produced, which will hide any imperfections (including mottling due to fluorosis, visible cracks, internal staining, dark shade due to loss of tooth vitality, stained filling margins), which orthodontics alone cannot correct.
Tooth shape and size can also be modified to match your personality or perhaps made to match teeth in earlier years, perhaps using photos for guidance. Stability of occlusion (relationship between your upper and lower jaws) can be also be achieved/conformed to.
Step 2: Smile Design
In the smile design stage, we will design your smile according to your wishes and even produce a ‘smile design’ printout (aesthetic prediction) of what we believe can be achieved in your case. This prediction is for guidance and any alterations you wish to make can be added to the guide.
Step 3: 3D Diagnostic Wax-up
Using the ‘smile design’ as a guide, tooth coloured wax is used to create a mock up of your new smile upon the cast of your existing smile. ‘This diagnostic wax-up’ gives an excellent idea of what we can achieve and how you would like your new smile to look.
Step 4: Prototype Veneers / Crowns
The (3D diagnostic wax-up) models can be used to fabricate prototype veneers or crowns made from resin. This mock up can then be fitted over your existing teeth and provide you with a clearer idea of what the finished veneers will look like in your mouth. Any alterations can then be made to these prototype veneers for your satisfaction.
We will also need to check out how any changes we are proposing will affect your appearance, your speech and your chewing power before embarking upon the final step of final veneer production.
When we are 100% happy, a mould is taken, returned to the lab and used as a guide in the fabrication of your finished veneers.
Step 5: Shades
In most cases the shade is taken by the ceramicist who makes the porcelain veneers/ crowns. His equipment and skill allows subtle shade variations to be added to the work, providing a superior natural appearance.
Step 6: Final Porcelain Veneers
The final porcelain veneers are fitted into position then bonded to the teeth using tooth coloured wear-resistant resin. Very minor adjustments can then be made, however this has not been required in any of our cases yet. A protective shield is provided to ensure the restorations are not damaged during sleep etc.
Smile Makeover Case Study
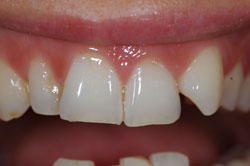
Before...
Congenitally missing teeth can lead to uneven teeth and an uneven gum line. The Canine tooth possesses aesthetical problems; hard and soft tissue considerations are needed.

After...
An amazing smile transformation with the use of ‘Home Whitening’, Oral plastic surgery with bone augmentation, and all-ceramic Empress Veneers.






